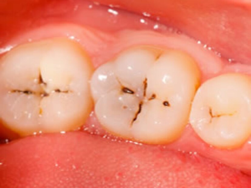
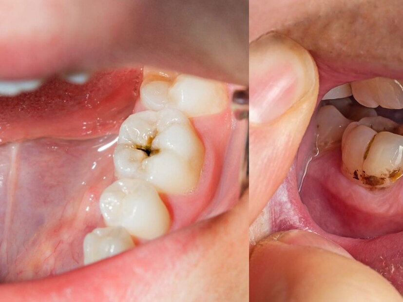
Tooth Cavity: কালো গর্ত, প্রবল যন্ত্রণা! দাঁতে পোকার সমস্যায় জেরবার? মিষ্টি খেলেই নয়, কোন ভিটামিনের অভাবে দাঁতে পোকা লাগে জানেন?
- Published by:Ankita Tripathi
- news18 bangla
Last Updated:
Tooth Cavity:ভিটামিনের অভাব শরীরে বিভিন্ন ধরণের সমস্যার একটি মূল কারণ। দাঁতের সমস্যারও একটি অন্যতম কারণ হল দেহে কয়েকটি বিশেষ ভিটামিনের অভাব।
advertisement
advertisement
advertisement
advertisement
advertisement
advertisement
advertisement
ডাক্তার বার্গ আরও জানালেন ভিটামিন ডি-এর পাশাপাশি ভিটামিন K2-ও দাঁতের সমস‍্যায় ভীষণ উপকারী। K2 ক্যালসিয়ামকে হাড় এবং দাঁতে পৌঁছে দেয়। ফলে ভিটামিন K2-র অভাবেও ক্ষতি হয় দাঁতের। (Disclaimer: এই প্রতিবেদনটি কেবলমাত্র সাধারণ তথ্যের জন্য, তাই বিস্তারিত জানতে হলে সর্বদা বিশেষজ্ঞের পরামর্শ নিন।)









