আরও পড়ুন- শ্রীলঙ্কার অর্থনৈতিক সঙ্কট নিয়ে চিন্তায় ভারত! সর্বদলীয় বৈঠকের ডাক দিল কেন্দ্র
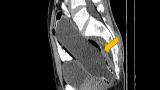
ইরানের সারির বাসিন্দা ওই ব্যক্তি নিজের পায়ুপথে একটি জলের বোতল ঢুকিয়েছিলেন মলাশয়ে। প্রায় সাড়ে সাত ইঞ্চি লম্বা এক জলের বোতল উল্টো করে ঢুকিয়েছিলেন নিজের মলাশয়ে। কিন্তু পরে আর কোনও ভাবেই সেটি বের করতে পারেননি। স্ত্রীর ভয়ে গোটা বিষয়টি মুখ ফুটে জানাতেও পারেননি। ক্রমশ খাওয়াদাওয়া বন্ধ হয়ে যায়, শুরু হয় তীব্র পেটে ব্যথা। মলত্যাগ করাও অসম্ভব হয়ে দাঁড়ায়। কোষ্ঠকাঠিন্যের সমস্যা ভেবে হাসপাতালে ভর্তি হলে সেখানে সিটি স্ক্যান করার পরেই গোটা বিষয়টি সাফ হয়। অস্ত্রোপচারের মাধ্যমে বের করা হয় সেই আস্ত বোতল।
advertisement
আরও পড়ুন- বাতকর্ম ভেবে পাঠাচ্ছেন এই ইমোজি? শিস ভেবে পাঠাচ্ছেন চুমু! দেখে দিন এই ইমোজিগুলির আসল অর্থ
বিজ্ঞান বিষয়ক পত্রিকা ক্লিনিক্যাল কেস রিপোর্টস জার্নালে চিকিৎসকরা জানিয়েছেন, রিপোর্ট পেয়েই তড়িঘড়ি অস্ত্রোপচারের মাধ্যমে বোতলটি বার করেন তাঁরা। কিন্তু কেন খামোখা নিজের পায়ু দিয়ে আস্ত বোতল ঢোকাতে গেলেন? সেই বিষয়ে অবশ্য নিশ্চিত নন চিকিৎসকরা। অনেকেই মনে করছেন যৌন অতৃপ্তি থেকে এমনটা করে থাকতে পারেন। চিকিৎসকেরা জানিয়েছেন, ওই ব্যক্তির মানসিক অবসাদও রয়েছে। অস্ত্রোপচারের তিন দিন পরে তাঁকে হাসপাতাল থেকে ছেড়ে দেওয়া হলেও বর্তমানে মনোবিদের তত্ত্বাবধানে রয়েছেন তিনি।
