Doctors save 4years old Boy: ৪ বছরের বাচ্চার পেটে ৫ সেমি ব্যাটারি! ১৪ ঘণ্টার ম্যারাথন লড়াই শেষে চিকিৎসকেরা নতুন প্রাণ দিলেন শিশুটিকে
- Published by:Arjun Neogi
- news18 bangla
Last Updated:
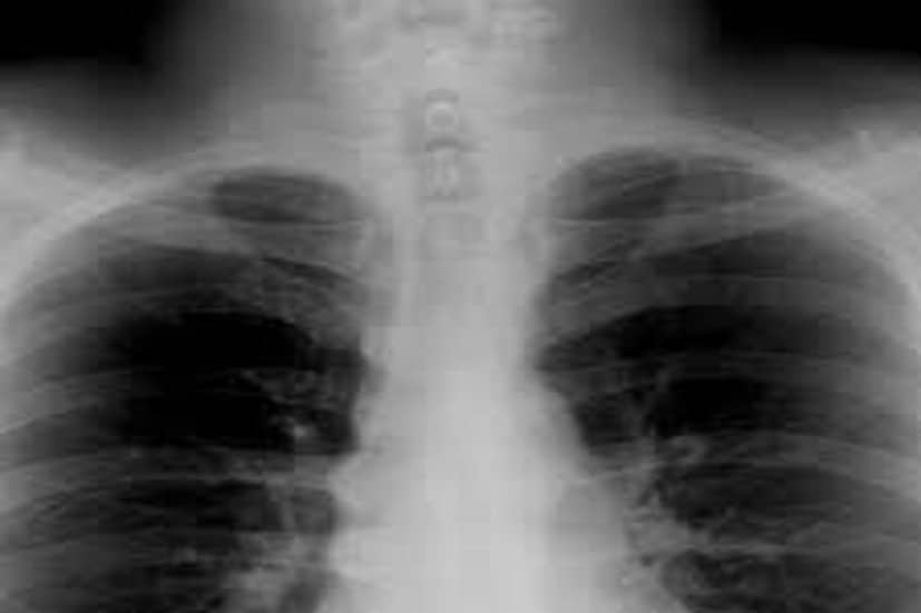
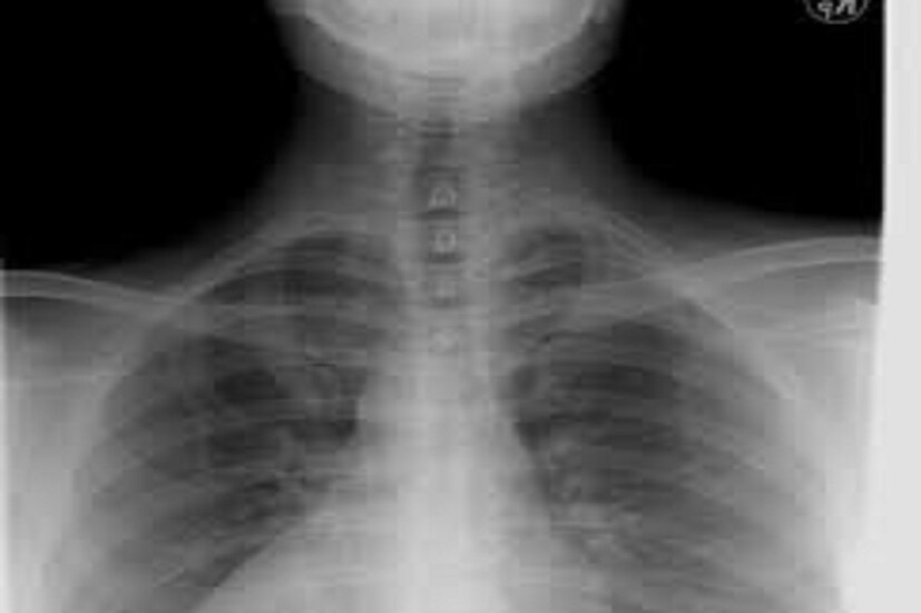
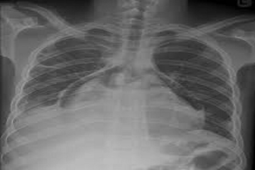
Viral News|Chennai News|National News: চিকিৎসকেরা প্রাণ বাঁচালেন একজন শিশুর ৷ ৫ সেমি ব্যাটারি গিলে ফেলাতেই বিপত্তি
advertisement
advertisement
advertisement
advertisement
advertisement
advertisement
advertisement
advertisement









