Hemorrhagic Pancreatitis: ২৬-এ শেষ সব! রিঙ্কু-পুত্রের ছেলের মৃত্যুর কারণ হেমরেজিক প্যানক্রিয়াটাইটিস! কী এই অসুখ?
- Published by:Salmali Das
- news18 bangla
Last Updated:
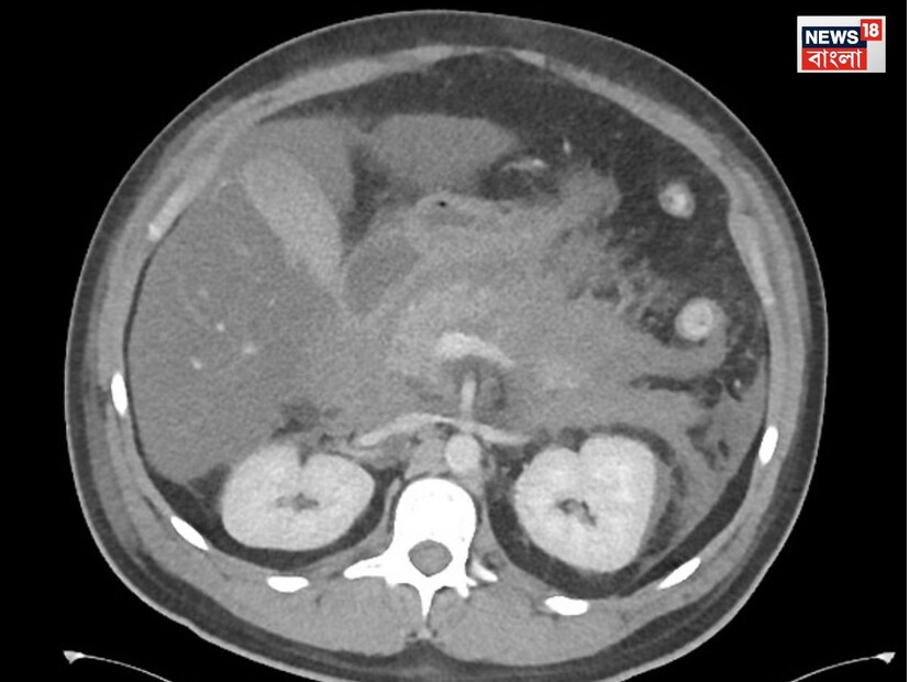
Hemorrhagic Pancreatitis: ময়নাতদন্তের প্রাথমিক রিপোর্টে চিকিৎসকরা বলছেন, অ্যাকিউট হেমরেজিক প্যানক্রিয়াটাইটিস ছিল তাঁর। এছাড়া ময়নাতদন্তে চিকিৎসকরা দেখেছেন, সৃঞ্জয়ের হার্টের আকার স্বাভাবিকের চেয়ে বেশি। কিডনি ও লিভারের আকারও স্বাভাবিকের চেয়ে বেশি ছিল।
advertisement
হাসপাতালে নিয়ে গেলে তাঁকে মৃত বলে ঘোষণা করেন চিকিৎসকরা৷ আরজি কর হাসপাতালে ময়নাতদন্তের পর সন্ধ্যায় নিমতলা মহাশ্মশানে শেষকৃত্য হয় প্রীতমের৷ সেখানেই উপস্থিত ছিলেন দিলীপ ঘোষ৷ প্রথমে শোনা গিয়েছিল প্রীতম আত্মঘাতীই হয়েছেন৷ যদিও ময়নাতদন্তের প্রাথমিক রিপোর্টে প্রীতম মৃত্যুতে কোনও অস্বাভাবিকতা পাওয়া যায়নি বলেই সূত্রের খবর৷
advertisement
advertisement
advertisement
advertisement
advertisement
advertisement
উপসর্গ কী কী-এই রোগের ফলে পেটে ব্যথা, বমি বমি ভাব, বমি এবং গ্যাস্ট্রোইনটেস্টাইনাল রক্তপাতের মতো উপসর্গ দেখা দেয়। গ্যাস্ট্রোইনটেস্টাইনাল রক্তপাতের কারণে একাধিক অঙ্গ বিকলও হতে শুরু করে। ( Disclaimer: এই প্রতিবেদনটি কেবলমাত্র সাধারণ তথ্যের জন্য, তাই বিস্তারিত জানতে হলে সর্বদা বিশেষজ্ঞের পরামর্শ নিন।)









