Dental Care: ব্রাশ করার সময় দাঁত থেকে রক্ত বের হচ্ছে? অবহেলা করবেন না, এই ‘বড়’ রোগের লক্ষণ হতে পারে
- Published by:Salmali Das
- news18 bangla
Last Updated:
Dental Care: স্বাস্থ্যকর ওরাল হাইজিনের জন্য দাঁতের পরিষ্কার রাখা খুবই জরুরি। এর জন্য আমরা প্রতিদিন ব্রাশ করি এবং খাওয়ার পর কুলকুচি করি। এভাবে আমরা শুধু দাঁতকে সংক্রমণ থেকে রক্ষা করি না বরং আমাদের সামগ্রিক স্বাস্থ্যও ভাল থাকে।
advertisement
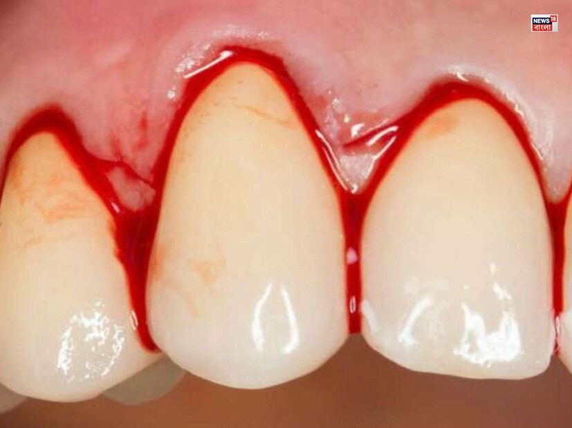
কিন্তু যদি আপনি ব্রাশ করার সময় দাঁত বা মাড়িতে ব্যথা অনুভব করেন বা ব্রাশ করার সময় দাঁতের মধ্যে থেকে রক্ত আসে তবে এটি হালকাভাবে নেবেন না। বিশেষ করে যদি এক সপ্তাহ পর্যন্ত দাঁত থেকে রক্ত আসার সমস্যা না থামে তবে আপনি তৎক্ষণাৎ আপনার ডেন্টিস্টের সঙ্গে যোগাযোগ করুন। আসলে, এটি গাম ডিজিজের প্রাথমিক লক্ষণ হতে পারে।
advertisement
পেরিওডোন্টাল ডিজিজের লক্ষণ (Periodontal Disease symptom) ফ্যাক্সওয়েবসাইটের মতে, গাম থেকে রক্তপাতের অনেক কারণ থাকতে পারে। আমেরিকান ডেন্টাল অ্যাসোসিয়েশনের মুখপাত্র এবং আমেরিকার পেরিওডোন্টিস্ট স্যালি জে. ক্র্যামের মতে, অনেক সময় মাড়ির ফোলার কারণে ব্রাশ করার সময় রক্ত আসতে শুরু করে যা মাড়ির রোগের প্রাথমিক লক্ষণ হয়।
advertisement
advertisement
মহিলাদের মধ্যে বেশ সাধারণ সমস্যা মহিলাদের মধ্যে এই রোগের লক্ষণগুলি বেশ দেখা যায়। সাধারণত পিউবার্টি (puberty), প্রেগনেন্সি, মেনোপজ বা মেনস্ট্রুয়াল সাইকেলের সময় এই লক্ষণগুলি দেখা যায়। এটি হরমোনাল পরিবর্তনের কারণে হয়। এই হরমোনগুলি মাড়ির কাছে জমা ব্যাকটেরিয়া এবং প্লাকের প্রতি বেশি সংবেদনশীল হয়।
advertisement
advertisement
advertisement
বাড়িতে কীভাবে প্রতিরোধ করবেন আপনি কমপক্ষে দিনে দুবার ব্রাশ করুন, ব্যালেন্স ডায়েট গ্রহণ করুন, আপনার ডেন্টিস্টের কাছে নিয়মিত চেকআপের জন্য যান, স্মোকিং থেকে বিরত থাকুন এবং চুইংগাম থেকে দূরে থাকুন। (Disclaimer: এই প্রতিবেদনটি কেবলমাত্র সাধারণ তথ্যের জন্য, তাই বিস্তারিত জানতে হলে সর্বদা বিশেষজ্ঞের পরামর্শ নিন)









