Oral Health Care: দাঁতের মর্ম বোঝেন? অকালে ‘ফোকলা’ হতে না চাইলে ডায়েট থেকে আজই বাদ দিন 'এই' সাদা খাবার! না হলে কেলেঙ্কারি
- Published by:Salmali Das
- news18 bangla
Last Updated:
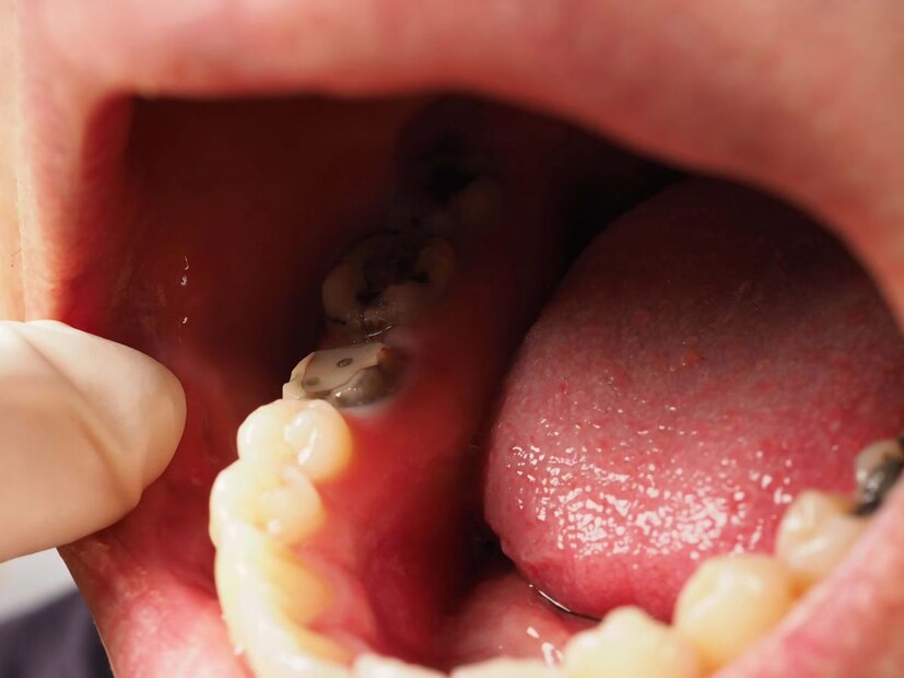
বেশিরভাগ মানুষই জানেন না যে অতিরিক্ত চিনি খাওয়া স্বাস্থ্যের জন্য ভাল নয়। এটি অতিরিক্ত পরিমাণে চিনি খেলে ডায়াবেটিস, উচ্চ কোলেস্টেরল এবং হৃদরোগের মতো সমস্যা হতে পারে।
advertisement
advertisement
advertisement
advertisement
advertisement
advertisement









