Health Tips|| ইচ্ছে হলেই 'এ ভাবে' কান খোঁচান? সাবধান...! কালা হয়ে যেতে পারেন যে কোনও দিন
- Reported by:Trending Desk
- Published by:Shubhagata Dey
Last Updated:
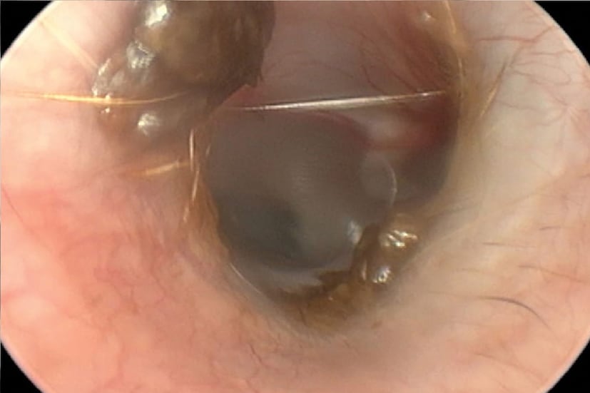
Health Tips: কান খোঁচানোর বদ অভ্যাস অনেক মানুষেরই থাকে। যে কোনও জিনিস কানে ঢুকিয়ে খোঁচানো আসলে মারাত্মক বিপদ ডেকে আনতে পারে।
advertisement
advertisement
advertisement
advertisement
advertisement
advertisement
advertisement
advertisement
advertisement
advertisement
advertisement
advertisement
advertisement









