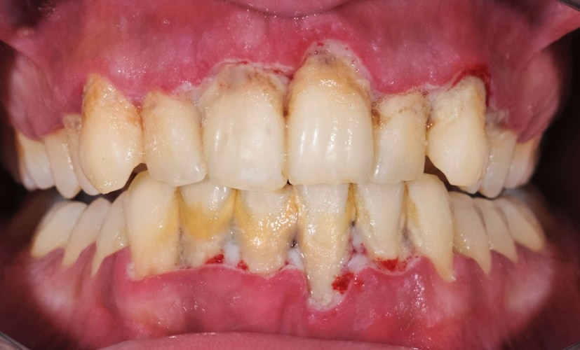
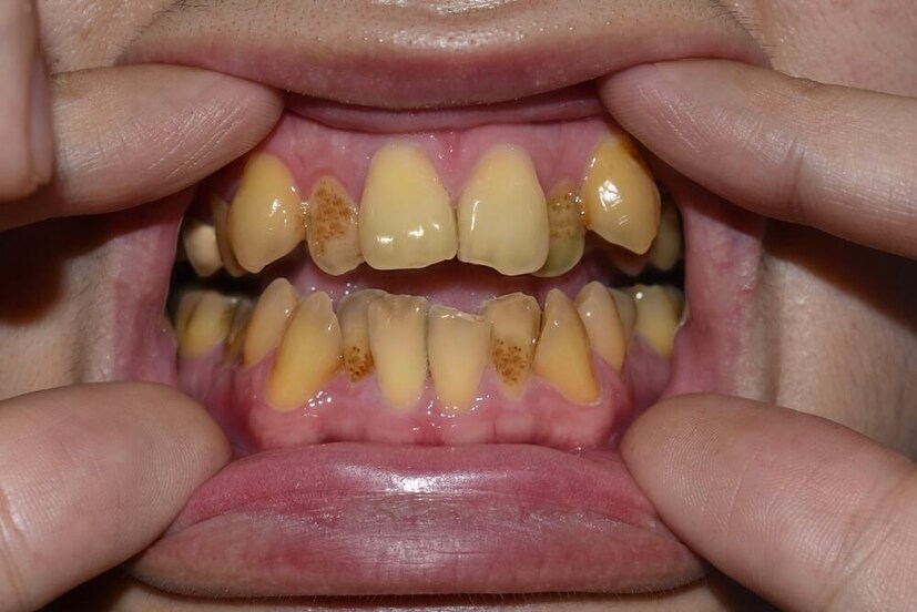
Teeth Cavity Remedy: সস্তার এই এক সাদা জিনিসেই দূর হবে দাঁতের পোকা! পালাবে মুখের বোঁটকা গন্ধ, দাঁত হবে ঝকঝকে তকতকে...
- Published by:Sounak Chakraborty
- local18
Last Updated:
Teeth Cavity Remedy: ফিটকিরির ব্যবহার প্রাচীনকাল থেকেই আমাদের বাড়িতে জল বিশুদ্ধ করা, ক্ষত সারানো এবং বিভিন্ন স্বাস্থ্য সমস্যার সমাধানের জন্য হয়ে আসছে। আয়ুর্বেদে একে একটি কার্যকরী ওষুধ হিসেবে ধরা হয়, যা স্বাস্থ্যের বিভিন্ন সমস্যার সমাধানে সাহায্য করে...
advertisement
advertisement
advertisement
advertisement
advertisement
advertisement
advertisement
advertisement
advertisement
advertisement









