Yellow Teeth whitening Tips: হাসলেই সামনে চলে আসে হলুদ দাঁত, লজ্জায় মুখ দেখাতে পারেন না! বিনা খরচায় ঘরোয়া টিপসেই পান মুক্তি...
- Published by:Sounak Chakraborty
- news18 bangla
Last Updated:
Yellow Teeth whitening Tips: দাঁতের হলুদ প্লাক সৌন্দর্য ও স্বাস্থ্যের ক্ষতি করে। ঘরোয়া উপায়ে বেকিং সোডা, নারকেল তেল, লবণ-সরিষার তেল ব্যবহার করে সহজেই এই প্লাক দূর করা যায়। জেনে নিন দাঁত ঝকঝকে রাখার কার্যকর টিপস ও বিশেষজ্ঞ পরামর্শ...
advertisement
1/11

দাঁতের স্বাস্থ্য শুধু আপনার ব্যক্তিত্বই নয়, বরং সার্বিক স্বাস্থ্যের ওপরও গভীর প্রভাব ফেলে। যখন আপনি কথা বলেন বা হাসেন, তখন প্রথমেই নজরে আসে আপনার দাঁত।
advertisement
2/11
দাঁতের মাধ্যমে আমরা খাবার চিবিয়ে হজমের প্রক্রিয়া শুরু করি, যা আমাদের স্বাস্থ্য রক্ষার জন্য অত্যন্ত জরুরি। তাই দাঁত সবসময় ঝকঝকে ও পরিষ্কার রাখা দরকার।
advertisement
3/11
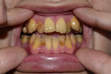
কিন্তু অনেক সময় দাঁতের ওপর একধরনের হলুদ স্তর জমে যায়, যাকে বলা হয় প্লাক (Plaque)। এই হলুদ প্লাক আপনার সৌন্দর্যে ব্যাঘাত ঘটায় এবং দীর্ঘমেয়াদে দাঁতের ক্ষতি করতে পারে। কিছু ঘরোয়া উপায়ে এর সমাধান সম্ভব।
advertisement
4/11
প্লাক কী? প্লাক হল দাঁতের উপর জমে থাকা একটি পাতলা স্তর, যা ব্যাকটেরিয়া, খাবারের কণা ও লালা দিয়ে তৈরি হয়। যদি সময়মতো এটি পরিষ্কার না করা হয়, তবে এটি টার্টার-এ পরিণত হতে পারে, যা দাঁতের এনামেল ক্ষয় করে ক্যাভিটি তৈরি করতে পারে এবং ধীরে ধীরে জিনজিভাইটিস বা পেরিওডোন্টাইটিসের মতো মারাত্মক সমস্যায় রূপ নিতে পারে।
advertisement
5/11
বেকিং সোডা ও হাইড্রোজেন পারঅক্সাইড: বেকিং সোডা দাঁতের ওপর জমে থাকা পুরনো প্লাক সরাতে সাহায্য করে এবং হাইড্রোজেন পারঅক্সাইড ব্লিচিংয়ের কাজ করে। সমান পরিমাণ বেকিং সোডা ও ৩% হাইড্রোজেন পারঅক্সাইড মিশিয়ে পেস্ট তৈরি করুন। কয়েক মিনিট দাঁতে ঘষুন, তারপর ভালোভাবে কুলি করে ফেলুন। তবে অতিরিক্ত ব্যবহারে এনামেল ক্ষয় হতে পারে।
advertisement
6/11
স্ট্রবেরি ও বেকিং সোডার পেস্ট: স্ট্রবেরিতে থাকা ম্যালিক অ্যাসিড দাঁতের দাগ তুলতে সাহায্য করে। এতে একটু বেকিং সোডা মিশিয়ে পেস্ট তৈরি করে ৫ মিনিট দাঁতে লাগিয়ে রাখুন, তারপর ধুয়ে ফেলুন। এটি দাঁতের হলুদ ভাব দূর করে উজ্জ্বলতা আনবে।
advertisement
7/11
লবণ ও সর্ষের তেল: লবণ ও সরিষার তেল দাঁতের হলদে ভাব দূর করতে খুবই কার্যকরী। অর্ধেক চা চামচ লবণের সঙ্গে কিছুটা সরিষার তেল মিশিয়ে পেস্ট তৈরি করুন। এই পেস্ট দিয়ে দাঁত ঘষলে দাঁত পরিষ্কার ও ঝকঝকে হবে।
advertisement
8/11
নারকেল তেলের অয়েল পুলিং: নারকেল তেলে থাকা অ্যান্টিব্যাকটেরিয়াল উপাদান প্লাক দূর করতে সাহায্য করে। এক চামচ নারকেল তেল মুখে নিয়ে ১৫-২০ মিনিট ধরে কুলকুচি করুন, তারপর ফেলে দিন ও মুখ ধুয়ে ফেলুন। এটি নিয়মিত করলে দাঁত আরও স্বাস্থ্যকর হবে।
advertisement
9/11
সতর্কতা ও পরামর্শ: এই ঘরোয়া প্রতিকারগুলি খুবই কার্যকর হলেও, অতিরিক্ত ব্যবহার করলে দাঁতের ক্ষতি হতে পারে। তাই সপ্তাহে ২-৩ দিনের বেশি ব্যবহার না করাই ভালো। এছাড়া দিনে দুইবার ব্রাশ ও ফ্লস করা অত্যন্ত জরুরি।
advertisement
10/11
দিল্লির খ্যাতনামা দন্ত চিকিৎসক ড. মেঘা শর্মা বলেন, "হলুদ প্লাক শুধু দাঁতের রঙ পরিবর্তন করে না, বরং দীর্ঘমেয়াদে দাঁতের শিকড়ে সংক্রমণ তৈরি করতে পারে। প্রতিদিন সঠিকভাবে ব্রাশ ও নিয়মিত ডেন্টাল চেকআপই হল একমাত্র উপায় দাঁত ভালো রাখার। তবে উপরের ঘরোয়া উপায়গুলো মাঝে মাঝে প্রয়োগ করলে প্রাকৃতিকভাবে দাঁত পরিষ্কার রাখা সম্ভব।"
advertisement
11/11
Disclaimer: এই খবরের মধ্যে দেওয়া ওষুধ/স্বাস্থ্য সম্পর্কিত পরামর্শ বিশেষজ্ঞদের সঙ্গে আলোচনা করে প্রাপ্ত। এটি সাধারণ তথ্য এবং ব্যক্তিগত পরামর্শ নয়। তাই ডাক্তারের পরামর্শ ছাড়া কোনও কিছু ব্যবহার না করার জন্য অনুরোধ করা হচ্ছে। নিউজ18 বাংলা কোনও ব্যবহারে ক্ষতির জন্য দায়ী থাকবে না।
বাংলা খবর/ছবি/লাইফস্টাইল/
Yellow Teeth whitening Tips: হাসলেই সামনে চলে আসে হলুদ দাঁত, লজ্জায় মুখ দেখাতে পারেন না! বিনা খরচায় ঘরোয়া টিপসেই পান মুক্তি...