Bleeding Teeth and Gum: অল্পতেই দাঁত দিয়ে গড়িয়ে পড়ছে রক্ত? মারাত্মক ক্ষতি করছেন কিন্তু, ৫টি টিপসে সুস্থ হবে মাড়ি, দাঁত থাকতে মর্ম বুঝুন
- Reported by:RAKESH MAITY
- hyperlocal
- Published by:Pooja Basu
Last Updated:
Dental Health: দাঁত অকেজ হলে যেমন খাবার গ্রহণে সমস্যা দেখা দিতে পারে। সেই দিক থেকে দাঁতের অল্প সমস্যা থেকে সতর্ক না হলে, ভবিষ্যতে মারাত্মক আকার নিতে পারে।
advertisement
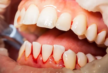
1/5

অল্পতেই দাঁতের গোড়া থেকে রক্তক্ষরণ, মাঝেমধ্যেই এই ঘটনা খুব সাধারণ ভাবে নিয়ে ভুল করছেন না তো? কোন কোন কারণে এই সমস্যা দেখা দিতে পারে। দাঁত ভাল রাখতে মানুন এই নিয়ম! (রাকেশ মাইতি)
advertisement
2/5
কথায় রয়েছে 'দাঁত থাকতে দাঁতের মর্ম বুঝতে হয় ' আর তা না-হলে পস্তাতে হয় আজীবন। শরীরে দাঁত এমন একটা অঙ্গ, খাবার গ্রহণের সঙ্গে বিভিন্ন ধরনের খাবারকে প্রয়োজন মত পিষে দেয়। সেই দিক থেকে শরীরে খাবার গ্রহণে গুরুত্বপূর্ণ ভূমিকা রাখে দাঁত।
advertisement
3/5
দাঁত অকেজ হলে যেমন খাবার গ্রহণে সমস্যা দেখা দিতে পারে। সেই দিক থেকে দাঁতের অল্প সমস্যা থেকে সতর্ক না হলে, ভবিষ্যতে মারাত্মক আকার নিতে পারে। যেমন দাঁতের গোড়া থেকে রক্তপাত হওয়ার সমস্যা দেখা যায় বহু মানুষের জিঞ্জিভাইটিসের মত নানা সমস্যার কারণ বা ভিটামিন সি এর অভাবে হতে পারে।
advertisement
4/5
যদিও এ প্রসঙ্গে অভিজ্ঞ চিকিৎসক জানাচ্ছেন, এই রক্তখরণের সমস্যা আরও মারাত্মক রোগেরও লক্ষণ হতে পারে। তাই এই ধরনের সমস্যা সর্বদা সহজভাবে নেওয়ার ঠিক নয়।দাঁত ভাল রাখতে নিয়মিত দাঁত পরিষ্কার করা প্রয়োজন। সেই দিক থেকে খাবার পর ব্রাশ খুব গুরুত্বপূর্ণ ভূমিকা রাখে।
advertisement
5/5
এ প্রসঙ্গে ডাক্তার বলেন দাঁত ভাল রাখতে বেশ কিছু খাবার গুরুত্বপূর্ণ ভূমিকা রাখে যেমন ভিটামিন সমৃদ্ধ খাবার লেবু। অন্যদিকে দাঁত ভাল রাখতে সজনা পাতায় রয়েছে মারাত্ম উপকারী গুণ। একই সঙ্গে বিভিন্ন মরশুমি ফল।এ প্রসঙ্গে তিনি আরবলেন রক্তক্ষরণ দেখা দিলে প্রথমত চিকিৎসকের পরামর্শে রক্তক্ষরণের কারণ জানতে হবে। দ্রুত সুস্থ হতে ডাক্তারি পরামর্শ মেনে চিকিৎসার প্রয়োজন।
বাংলা খবর/ছবি/লাইফস্টাইল/
Bleeding Teeth and Gum: অল্পতেই দাঁত দিয়ে গড়িয়ে পড়ছে রক্ত? মারাত্মক ক্ষতি করছেন কিন্তু, ৫টি টিপসে সুস্থ হবে মাড়ি, দাঁত থাকতে মর্ম বুঝুন