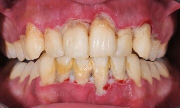
Teeth Care: দাঁতের গোড়া থেকে হলুদ ময়লা খুঁচিয়ে বার করে, দামি পেস্ট নয়, ভেষজ এই ব্রাশে হলদে দাঁত হবে মুক্তোর মতো সাদা!
- Published by:Pooja Basu
- news18 bangla
Last Updated:
যদি আপনার দাঁতে গর্তের মতো সমস্যা থাকে, তাহলে নিম কাঠির সাহায্যে দাঁত পরিষ্কার করলে সমস্যা থেকে মুক্তি মিলবে।
advertisement
1/9

বহু পুরনো এই প্রথায় দাঁত পরিষ্কার হয় নিমেষে৷ ছেতলা পড়া দাঁতে হলুদ ছাপ উঠে সাদা ঝকঝকে মুক্তোর মতো হয় দাঁত৷ ফলে সকলের সামনে মুখ খুলে হাসতে আত্মবিশ্বাসের অভাব হয় না৷
advertisement
2/9
আরও একটি সুবিধা রয়েছে এতে৷ ব্রাশ,যত দামী হোক না কেন একটা নির্দিষ্ট সময় পর্যন্ত সেটা ব্যবহার করা যায়৷ তবে এই দেশি জিনিস খুব সস্তায় মেলে,ফলে দাঁত পরিষ্কারের জন্য খরচ অনেক কম৷ এবং এতে কিছু ভেষজ গুণ থাকে যা দাঁত ও মাড়ির জন্য উপকারী৷
advertisement
3/9
নিম দাতুন দিয়ে দাঁত পরিষ্কার করা ভাল, কারণ এতে অ্যান্টিব্যাকটেরিয়াল এবং অ্যান্টি-ইনফ্লেমেটরি বৈশিষ্ট্য রয়েছে। নিমের টুথপেস্ট ব্যবহারও উপকারী।
advertisement
4/9
ডাঃ বিপিন চন্দ্র দাস জানান, বিশেষজ্ঞরা সবসময় পরামর্শ দেন যে দাঁত মজবুত এবং সতেজ রাখার জন্য দিনে অন্তত দুবার ব্রাশ করা গুরুত্বপূর্ণ। একটি সকালে ঘুম থেকে ওঠার পর এবং অন্যটি রাতে রাতের খাবার খাওয়ার পর। কিন্তু নিমের টুথস্টিক ব্রাশ দিয়ে দাঁত পরিষ্কার করার চেয়ে বেশি উপকারী।
advertisement
5/9
নিম আপনার দাঁতের জন্য অসাধারণ। এই তেতো স্বাদের ভেষজটির পরিষ্কার করার ক্ষমতার জন্য অত্যন্ত মূল্যবান কারণ এতে অ্যান্টিব্যাকটেরিয়াল এবং অ্যান্টি-ইনফ্লেমেটরি বৈশিষ্ট্য রয়েছে, তাই এটি আসলে আপনার দাঁতকে আরও ভালভাবে পরিষ্কার করতে এবং দীর্ঘমেয়াদে ময়লা জমা কমাতে সাহায্য করতে পারে।
advertisement
6/9
এছাড়াও, ডাক্তার বলেছেন যে নিমের টুথপেস্ট দিয়ে ব্রাশ করা দাঁত এবং মাড়ির স্বাস্থ্যের উন্নতির সবচেয়ে স্পষ্ট উপায়। বিভিন্ন ধরণের টুথপেস্ট পাওয়া যায় যার মধ্যে নিমের নির্যাস হল প্রধান উপাদান। দিনে অন্তত দুবার এই টুথপেস্ট দিয়ে দাঁত ব্রাশ করুন।
advertisement
7/9
যদি আপনার দাঁতে গর্তের মতো সমস্যা থাকে, তাহলে নিম কাঠির সাহায্যে দাঁত পরিষ্কার করলে সমস্যা থেকে মুক্তি মিলবে।
advertisement
8/9
নিম কাঠির সাহায্যে দাঁত ব্রাশ করার সময় এটি চিবিয়ে নিন। এটি চিবিয়ে আপনি এর অ্যান্টি-মাইক্রোবিয়াল এবং অ্যান্টি-ইনফ্লেমেটরি বৈশিষ্ট্য থেকে উপকৃত হতে পারেন।
advertisement
9/9
নিম টুথব্রাশ ব্যবহার করার সময় কিছু সতর্কতা অবলম্বন করা উচিত। নিম টুথব্রাশ ব্যবহার করার আগে, এটি ভালো করে ধুয়ে নিন। গাছের ডালটি সঠিকভাবে ভেঙে তারপর ব্যবহার করা প্রয়োজন।
বাংলা খবর/ছবি/লাইফস্টাইল/
Teeth Care: দাঁতের গোড়া থেকে হলুদ ময়লা খুঁচিয়ে বার করে, দামি পেস্ট নয়, ভেষজ এই ব্রাশে হলদে দাঁত হবে মুক্তোর মতো সাদা!