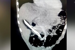
২০ সেন্টিমিটার দীর্ঘ ছুরি গিলে খেয়ে নিয়েছিলেন। তাও আবার ইচ্ছে করেই। তারপরেও কাউকে কিচ্ছুটি বুঝতে দেননি। শরীরে কোনও সমস্যা ছিল না। কিন্তু দিন দিন খাওয়ার পরিমাণ কমে যাচ্ছিল। সম্প্রতি পেটে ব্যথাও শুরু হয়। তারপরেই তাঁকে চিকিৎসকের কাছে নিয়ে যান পরিবারের সদস্যরা। চিকিৎসক এক্স রে করতেই চোখ কপালে ওঠে। দেখা যায় লিভারের মধ্যে রয়েছে বেশ বড় একটি ছুরি। সেটিকে ইতিমধ্যেই জটিল অস্ত্রোপচারের মাধ্যমে লিভার থেকে বার করেছেন দিল্লি এইএমএস (AIIMS)-এর চিকিৎসকরা। আপাতত ওই ব্যক্তির শারীরিক অবস্থা স্থিতিশীল।
advertisement
রোগীর পরিবারের তরফে জানা গিয়েছে, ১২ জুলাত প্রথমে ওই যুবককে সফদরজং হাসপাতালে নিয়ে যাওয়া হয়েছিল। কিন্তু সেখানে অবস্থার অবনতি হওয়ায় ১৯ জুলাই এইএমএস-এ স্থানান্তরিত করা হয়। সেখানে তাঁকে রেডিয়েশন দিয়ে সংক্রমণ ছড়ান রুখে এবং ফুড সাপ্লিমেন্ট দিয়ে শারীরিক অবস্থা স্থিতিশীল করে তবেই অস্ত্রোপচার করার সিদ্ধান্ত নেন চিকিৎসকরা।
হাসপাতালের বিশেষজ্ঞ চিকিৎসকদলের নেতৃত্বে ছিলেন গ্যাস্ট্রোএন্টেরোলজি বিভাগের প্রধান চিকিৎসক এনআর দাস। তিনি জানিয়েছেন, হাসপাতালে আগেও ধারালো জিনিষ খেয়ে নেওয়া রোগীর চিকিৎসা হয়েছে। তাঁদের মধ্যে কেউ বোর্ড পিন খেয়ে নিয়েছিলেন, কেউ সূচ আবার কেউ মাছ ধরার হুক। তাঁদের ক্ষেত্রে অস্ত্রোপচারের পরে রোগীরা সুস্থ হয়ে বাড়ি ফিরেছে। কিন্তু এভারে পুরো ছুরি খেয়ে নেওয়ার মতো ঘটনা বিরল। চিকিৎসক জানিয়েছেন, হরিয়ানার বাসিন্দা ২৮ বছরের এই যুবকটির ক্ষেত্রে সে ছুরিটি খাওয়ার পড়ে তা লিভারে গিয়ে আটকে গিয়েছিল। অস্ত্রোপচারের সময় সেটি লিভারের মধ্যে একদম চেপে বসেছিল। প্রায় ৩ ঘণ্টা ধরে চলে অস্ত্রোপচার। তারপরেই সেটি বার করা সম্ভব হয়েছে।
এ দিকে রোগীর পরিবারের তরফে জানা গিয়েছে, ওই যুবক মাদকাসক্ত। হাতের কাছে মাদক না পেয়ে ছুরিটি গিলে ফেলেছিল। চিকিৎসকদের কাছে সেই কথাই জানিয়েছে সে। তবে চিকিৎসকদের কাছে কেন এই অস্ত্রোপচার জটিল ছিল? চিকিৎসক এনআর দাস বলেন, ছুরিটি পিত্তনালী এবং মহা ধমনীর মধ্যে বিপজ্জনকভাবে আটকে ছিল। সেক্ষেত্রে কোনওভাবে হাত এদিক-ওদিক হলে মহাধমনী ক্ষতিগ্রস্ত হয়ে প্রবল রক্তক্ষরণে মৃত্যু হতে পারত রোগীর। ফলে অত্যন্ত সন্তর্পণে গোটা বিষয়টি করতে হয়েছে। চিকিৎসকরা খাদ্যনালীর দেওয়াল কেটে লিভার থেকে ছুরিটি বার করে এনেছেন।
