

প্লাস্টিক:১৯০৭ সালে লিও বেকেল্যান্ড আচমকাই প্লাস্টিক আবিষ্কার করেছিলেন। আসলে সিন্থেটিক রাসায়নিক তৈরি করার চেষ্টা করতে গিয়েই প্লাস্টিক আবিষ্কার করে ফেলেছিলেন তিনি।

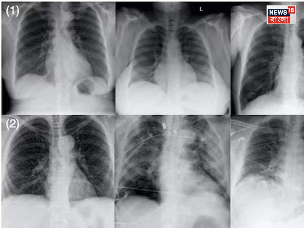
এক্স-রে:এক্স-রে হল এক ধরনের ইলেকট্রোম্যাগনেটিক রেডিয়েশন, যা মেডিক্যাল ইমেজিংয়ে ব্যবহার করা হয়। ক্যাথোড রে নিয়ে পরীক্ষা-নিরীক্ষা করতে গিয়ে ১৮৯৫ সালে উইলহেলম কনরাড রয়েন্টজেন এই এক্স-রে আবিষ্কার করেছিলেন।

দেশলাই বাক্স:১৮২৬ সালে একটি নতুন ধরনের এক্সপ্লোসিভ গ্লু তৈরি করার চেষ্টা করতে গিয়ে আচমকাই দেশলাই বাক্স তৈরি করে ফেলেছিলেন জন ওয়াকার। দুর্ঘটনাক্রমে কোনও পৃষ্ঠের সঙ্গে ঘর্ষণ হলে এগুলি জ্বলে ওঠে।

মাইক্রোওয়েভ ওভেন:১৯৪৬ সালে পার্সি স্পেনসার আসলে একটি ম্যাগনেটিক সার্কিট ব্রেকার নিয়ে পরীক্ষা-নিরীক্ষা করছিলেন। এরপর তিনি দেখেন যে, তাঁর পকেটে থাকা চকোলেট গলে গিয়েছে। অপ্রত্যাশিত এই বিষয়টি থেকেই প্রথম মাইক্রোওয়েভ ওভেন তৈরি হয়েছিল।

ডায়নামাইট:এটি এমন এক ধরনের বিস্ফোরক, যা ১৮৬৬ সালে আবিষ্কার করেছিলেন অলফ্রেড নোবেল। তিনি ঘটনাক্রমে আবিষ্কার করেন যে, সিলিকার সঙ্গে মিশ্রিত হলে এটি একটি স্থিতিশীল এবং শক্তিশালী বিস্ফোরক তৈরি করতে পারে।

পেনিসিলিন:ব্যাকটেরিয়ার একটি পাত্র কভার করে দুর্ঘটনাক্রমে ১৯২৮ সালে এই অ্যান্টিবায়োটিক আবিষ্কার করেন আলেকজান্ডার ফ্লেমিং। এই আকস্মিক আবিষ্কারের ফলে পেনিসিলিনের উদ্ভাবন ঘটে, যা অসংখ্য জীবন রক্ষা করে।

পোট্যাটো চিপস:১৮৫৩ সালে নিজের রেস্তোরাঁয় এক গ্রাহককে শান্ত করার চেষ্টা করছিলেন জর্জ ক্রাম। এর জন্য তিনি পাতলা পাতলা করে আলু কেটে তা মুচমুচে হওয়া পর্যন্ত ভাজতে থাকেন। আচমকাই বানিয়ে ফেলেন জনপ্রিয় স্ন্যাক পোট্যাটো চিপস।

কোকা-কোলা:সারা বিশ্বের মানুষ ভালবাসে এই সফট ড্রিঙ্ক। ১৮৮৬ সালে মাথা ব্যথা কমানোর উপায় খোঁজার চেষ্টা করছিলেন জন পেম্বারটন। তিনি কার্বোনেটেড জলের মধ্যে কোকা পাতা এবং কোলা বাদাম মিশিয়ে একটি রিফ্রেশিং পানীয় তৈরি করেছিলেন।

ভায়াগ্রা:এটা এমন একটা ওষুধ, যা পুরুষদের বন্ধ্যাত্বের চিকিৎসায় ব্যবহৃত হয়। নব্বইয়ের দশকে কম অক্সিজেনের মাত্রার জেরে বুকে ব্যথার চিকিৎসা হিসেবে এটির পরীক্ষা করেছিলেন বিজ্ঞানীরা। পার্শ্বপ্রতিক্রিয়ায় এটি পুরুষদের যৌন চাহিদা বৃদ্ধি করেছিল।

কর্নফ্লেক্স:১৮৯৪ সালে স্বাস্থ্যকর প্রাতরাশ বানানোর জন্য চেষ্টা করছিলেন জন হার্ভে কেলগ। আকস্মিক এই আবিষ্কারের ফলে তৈরি হয় কর্নফ্লেক্স। যা আজ ব্যাপক জনপ্রিয়তা লাভ করেছে।


